Precizni, suhi rezovi
- Minimalno krvarenje — odlična vidljivost
- Glatko klizanje elektrode
- Čisti rubovi za točne otiske/skeniranja
XO Odontosurge radi na 27 MHz i automatski prilagođava snagu prema tkivu. Rezultat su čisti rezovi uz minimalno krvarenje, brzo cijeljenje i vrhunska ergonomija — bez nožne pedale. Ručka s aktivacijom prstom omogućuje potpun fokus na polje rada.
27 MHz RF s automatskim podešavanjem snage. Dva moda — CUT (rezanje) i COAG (hemostaza). Bez neutralne elektrode.
Demo u vašoj ordinaciji s kratkom obukom i preporukom elektroda po indikaciji. Promotivna cijena vrijedi i uz Grenke (ukupno viši zbog troška financiranja).
Akcijska cijena vrijedi do 31.12.2025.. Sve cijene uključuju PDV. Promotivna cijena vrijedi i uz Grenke.
Jednokratno: promo €3.750,50 s PDV. Uz Grenke mjesečne rate uključuju PDV i daju veći ukupni iznos.
PDF brošura s tehničkim specifikacijama i kliničkim slučajevima. Organiziramo demo u vašoj ordinaciji ili online.
Ispunite podatke i naš tim će vas kontaktirati najkasnije sljedeći radni dan.
Primjeri iz prakse (1:1). Dodatne slučajeve pogledajte na poveznici ispod.

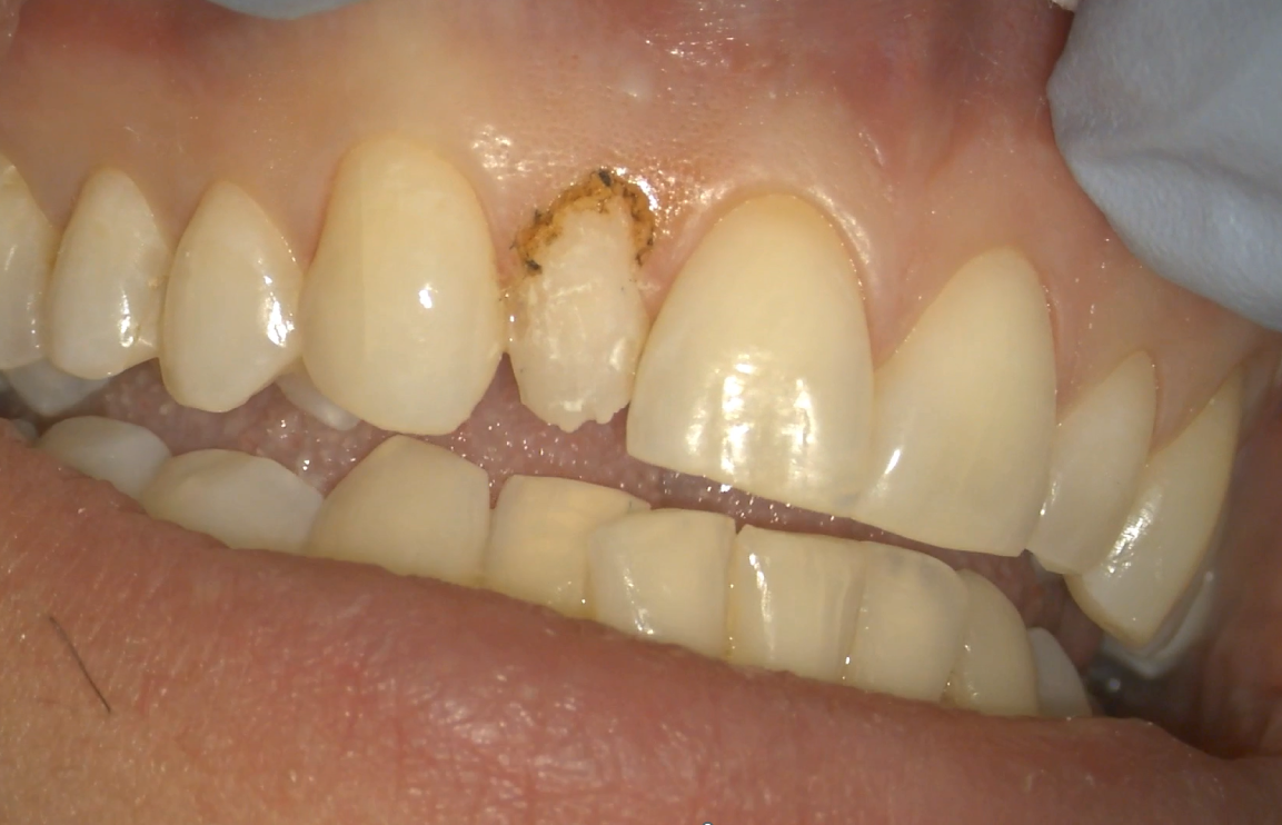
Precizno uklanjanje gingive; jasan rub preparacije.

Suho i čisto polje — bez retrakcijskog konca u većini slučajeva.

Privremeno otvaranje sulkusa; suho polje za kvalitetnu restauraciju.

Uklanjanje fibroma/hiperplazije uz trenutnu hemostazu i brz oporavak.
Kratak zahvat gotovo bez krvi; minimalna postoperativna nelagoda i brzo cijeljenje.
COAG mod zatvara male krvne žile; kraći zahvati i bolja vidljivost.
Još slučajeva: XO CARE case studies (otvara se u novoj kartici).